目前世界上有超过14亿辆汽车,到2036年,这一数字可能翻番。如果这些车辆都烧汽油或柴油,将造成严重的气候影响。电动汽车排放的空气污染物更少,驾驶电动汽车时,如果采用可再生能源,可以减少温室气体排放,避免全球变暖。

(图片来源:考文垂大学)
随着电动汽车生产数量的增加,对锂、钴、镍和锰等金属的需求也将激增。与此同时,含有大量贵金属的废弃电子产品堆积在垃圾填埋场。电动汽车电池本身的保质期只有8到10年。目前,欧盟的锂离子电池回收率不足5%。与其开采新的金属矿物源,为何不重复利用已有资源呢?
回收电池时,大多要通过熔化分离过程提取金属。这通常在大型商业设施中进行,需要消耗大量能源,并造成大量碳排放。即或如此,也很少能完全回收有价值电池材料。2025年,全球金属回收市场的价值,预计将从2020年的520亿美元增长至760亿美元。为了缓解日益加剧的环境问题,必须采取低耗能回收方法,比如生物浸出法。
生物浸出(Bioleaching),也称为生物采矿,其中使用的微生物可以氧化金属,作为其新陈代谢的一部分。在采矿业,这种方法已得到广泛应用,利用微生物从矿石中提取有价值的金属。最近,这项技术被用于清理和回收电子废弃物中的材料,特别是计算机印刷电路板、太阳能电池板、受污染的水,甚至铀废弃物。
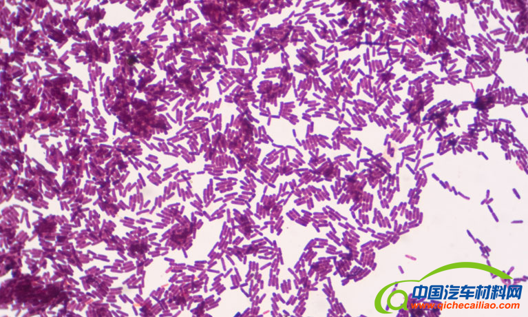
据外媒报道,考文垂大学(Coventry University)研究组的研究人员发现,通过生物浸出法,可以回收电动汽车电池中的所有金属。嗜酸氧化亚铁硫杆菌(acidithiobacillus ferrooxidans)和其他无毒细菌,能够单独定位和回收这些金属,同时不需要高温环境或有毒化学物质。源自这些提纯金属的化学元素,可以无限回收,进入多个供应链。
扩大生物浸出规模,需要在37°C的恒温箱中培养细菌,并且经常用到二氧化碳。因为不需要很多能源,所以这一过程产生的碳足迹,比典型的回收工厂少得多,造成的污染也更少。这种方法使电动汽车的电池得到充分利用。同时,制造商可以通过生物浸出设施,在当地回收贵金属,从而减少对少数生产国的依赖性。
研究人员表示,为了实现工业规模回收,需要结合生物浸出和电化学方法,从而提取金属并将其应用于供应链。目前,电动汽车的电池技术仍处于初级阶段,应将组件重用作为设计的一部分。通过生物浸出方法,可以低环境成本生产高品质原材料,用于新电池。回收材料可以进入电动汽车电池生命周期的始末,而不再只是事后的想法。







